49歲男腦梗離世!醫生呼籲中老年人「晨起後盡量少做5件事」 做好兩補充、兩保持:養護血管
2024/01/11

ADVERTISEMENT

49歲的鄧先生,晨起後突然感到頭暈嘔吐,右側肢體也開始越來越乏力,到醫院的時候,右側肢體已經完全不能動了。

通過檢查,醫生髮現鄧先生所罹患的其實是急性腦梗,更糟糕的是,竟然還是大面積腦梗,鑒于病情危重,鄧先生被立刻送進重癥監護室治療,遺憾的是,雖然醫生盡全力搶救,但僅僅一周後,鄧先生還是不幸離世。

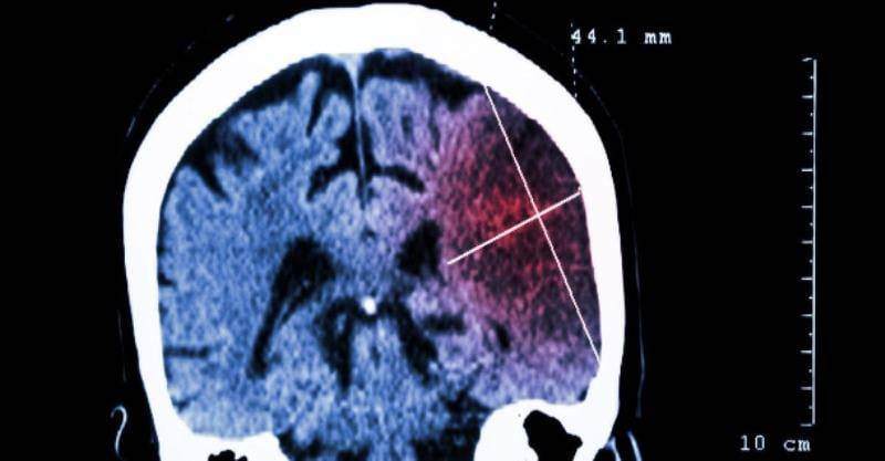
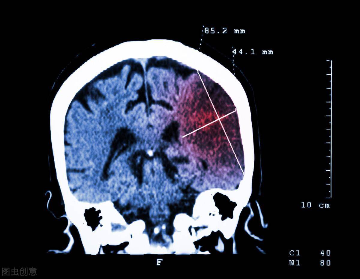
腦梗死又稱腦梗腦梗塞,是指大腦中的某個組織區域出現壞死情況。它是由向大腦供應血液和氧氣的動脈阻塞或狹窄所導致。由于血液供應受限,則會導致缺血性中風,如果血流在相對較短的時間內沒有及時恢復,就會出現梗塞

49歲,年齡並不算太大,為何竟突然罹患大面積腦梗離世了呢?

原來,鄧先生早在五年前就查出了高血壓,但他始終沒有重視,到醫院的時候,醫生髮現他的血壓高達190/110mmHg,更讓人難以置信的是,五年來,鄧先生從未吃過降壓藥物,除此之外,他的生活習慣也一點都不好。

鄧先生平時煙酒全沾,不愛運動,飲食上也格外油膩,170厘米身高的他,體重卻高達90公斤,去年體檢的時候,醫生告訴鄧先生他的血脂特別高,他也絲毫沒有重視。

所以,看似腦梗是突然到來的,實際上,環環相扣,早已註定了今日的悲劇下場。

如果你拿健康不當回事,有一天,疾病就會給你當頭一棒。

ADVERTISEMENT

在這個世界上,錢沒有了可以再賺,工作沒有了可以再找,但唯獨健康,沒有了就沒有了,是絕對沒有後悔葯吃的。

人到中年,腦梗的發病風險也會明顯增加,作為醫生,要提醒中老年人,晨起後盡量少做五件事,以降低腦梗發生的風險。

1、晨起後盡量少吸煙

香煙里富含多種有害物質,其中危害最大的就是尼古丁,很多人認為尼古丁可以讓人上癮,容易誘發癌癥,但是你卻忽視了,尼古丁還是誘發血栓的罪魁禍首。

所以,長期吸煙的人,發生腦梗的風險也會大大增加。

那些晨起後就迫不及待要吸煙的人,可見他們的煙癮是何等大,晨起之後就馬上要吸煙的人,一定要特別小心,腦梗風險更高。

2、晨起後盡量少發脾氣

晨起是一個特殊的時間段,晨起之後交感神經興奮,此時血壓升高,心率加快,所以晨起容易出現心腦血管意外。如果晨起之後你的脾氣特別不好,總是要發脾氣,那麼你可要注意了。

壞的脾氣傷害的不僅僅是身邊的人,還會傷害自己,你在發火的時候,腎上腺素飆升,血壓肯定會達到一個新的高度,那些情緒過于激動的人,往往很容易發生急性腦梗。

ADVERTISEMENT

3、晨起後盡量不要劇烈運動

很多人晨起之後,馬上迫不及待進行劇烈運動。不推薦。

對于中老年人群,實話實說,晨起這段時間去運動不是最佳選擇,道理很簡單,晨起這個特殊的時間段,是一天裡血壓最高的時間段,這個時間段你去劇烈運動,很容易讓血壓變得更高。

Advertisements

4、晨起後盡量不要吃高鹽高脂肪食物

晨起之後,很多人都會按時吃早餐。但是早餐怎麼吃,還是一門大學問,晨起之後,高鹽和高脂肪食物一定不要吃,因為它們對健康沒有什麼好處。

高鹽和高脂肪飲食,會讓你的血壓、血糖和血脂變得更高,眾所周知,三高可是引起腦梗死最危險的因素了。

5、晨起後盡量不要喝酒

要想腦血管好,一定要滴酒不沾。晨起後就要喝酒的人,你的酒癮實在太大了,當然,在很多地方,還有喝早酒的習慣,但實話告訴大家,這真得不是一個好習慣。

有些人認為喝酒擴血管,殊不知,喝酒對血管的作用是雙向調節,先擴張再抑制,所以長期喝酒的人,抑制血管的作用更持久,喝酒是導致腦動脈粥樣硬化的罪魁禍首。

文章參考:搜狐

嚴禁無授權轉載,違者將面臨法律追究。

ADVERTISEMENT

給《周處除三害》演員演技排名:「香港仔」第3,「尊者」排第1
2024/03/26
圈內6大奇葩婆媳關系,有的婆婆極致偏心,有人婚后13年沒見公婆
2024/03/26

ADVERTISEMENT

深度解讀《周處除三害》女醫生:為何她要騙陳桂林患了肺癌?
2024/03/25
守寡42年!婚後「一直做家庭主婦」丈夫留下十億 在她手上「變成百億」最後把家產傳給「二女兒」
2024/03/25
深挖《周處除三害》細節:陳桂林和程小美從小就認識?
2024/03/24
深度解讀《周處除三害》最難懂情節:為何尊者和女領唱都不怕槍?!
2024/03/24
深度解析《周處除三害》最難理解的鏡頭,看完才真正明白!
2024/03/24
深度解讀《周處除三害》細節:陳桂林和程小美的另類關系
2024/03/22
《傳聞中陳芊芊》2年演員今昔對比,女主躋身一線,男二被爆丑聞
2024/03/22
陳思誠又有大動作!《解密》有望成諜戰天花板?主演一個比一個猛
2024/03/22
《功夫貓熊》前三部贏麻了!在中國狂賺18億,第四部點映后差評一片
2024/03/21
一口氣放出全集,這部新劇太有底氣!笑點密集,三觀正,值得看!
2024/03/21
虧大了!《周處除三害》賣4.6億,投資方要哭死,僅僅分到150萬
2024/03/21
尊者和香港仔,《周處除三害》兩大通緝犯誰演的?原來大有來頭
2024/03/21
《周處除三害》這6個秘密只有三刷的時候才能看的懂!
2024/03/21
《周處除三害》深度解析,電影中3種動物隱喻,會讓你豁然開朗!
2024/03/21
砸了2.6億,票房不到1億,寧浩和劉德華這次合作栽了?
2024/03/19
Selina曬6月大兒子近照,盤腿坐姿神似老大爺,體重超標引發擔憂
2024/03/18
失婚後被情人兩度背叛!看透人生出家為尼「卻仍沉迷男色」大口吃肉 特立獨行的修佛行為「備受爭議」絲毫不以為意:活到99歲
2024/03/18
鄧麗君遺體之謎:脖子9處針孔,遺體遍布紅斑,男友不許解剖
2024/03/18